“How to Remove Dark Circles Naturally: Best Ayurvedic & Chemical-Free Solutions ”
Written by Mrs Sangeeta Khatri
“Skincare should never be a mystery. My mission is to help every individual understand what they apply on their skin, and why it works — through a perfect marriage of science and nature.”
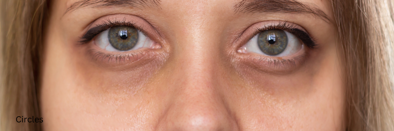
Understanding Dark Circles
Skin dark circles are those annoying dark patches or circles that appear under your eyes, making you look tired even when you’re not. They can show up in different shades like brown, blue, or purple. These circles happen because the skin under your eyes is quite thin, so you can see the blood vessels and pigmentation more easily. Sometimes, it’s because of your family genes, but things like not getting enough sleep, being stressed, or getting older can also make them worse. Taking care of yourself with enough sleep, a healthy diet, and using special creams can help reduce these under-eye circles and make you look more awake and fresh.
Several factors contribute to the development of skin dark circles
Genetics: Your genetic makeup plays a significant role in determining your susceptibility to under-eye circles. If your family members have them, you’re more likely to experience them too.
Thin Skin: The skin beneath the eyes is thinner and more delicate, making blood vessels and pigmentation more visible.
Aging: As we age, the skin loses collagen and becomes thinner, accentuating the appearance of under-eye circles.
Lifestyle Factors: Lack of sleep, excessive stress, smoking, and poor dietary choices can all contribute to the development of dark circles.
Essential Prevention
Preventing skin dark circles involves a combination of lifestyle adjustments and skincare practices:
Adequate Sleep: Ensure you get enough sleep, typically 7-9 hours a night, to prevent tired-looking eyes.
Stress Management: Adopt stress-reduction techniques such as meditation, yoga, or deep breathing exercises to alleviate the physical and mental strain that can lead to dark circles.
Balanced Diet: Consume a diet rich in fruits, vegetables, and antioxidants to support skin health. Stay hydrated by drinking plenty of water.
Sun Protection: Apply sunscreen with SPF 30 or higher around the eyes to protect the delicate skin from UV damage.
Eye Care: Use a gentle eye cream containing ingredients like hyaluronic acid or peptides to keep the under-eye area hydrated.
Allergen Management: Identify and manage allergens that can cause eye irritation and puffiness, contributing to dark circles.
Effective Remedies
Addressing skin dark circles often requires a multi-pronged approach:
Topical Treatments: Look for eye creams or serums containing ingredients like vitamin C, vitamin K, retinol, or caffeine. These can help reduce pigmentation and improve skin texture.
Cold Compresses: Applying a cold compress or chilled cucumber slices can temporarily reduce puffiness and the appearance of dark circles.
Sleep Hygiene: Maintain a regular sleep schedule and create a sleep-friendly environment to ensure quality rest.
Dermal Fillers: In-office procedures like hyaluronic acid dermal fillers can plump the skin, reducing the appearance of dark circles.
Chemical Peels: Chemical peels can improve skin texture and reduce pigmentation irregularities.
Microneedling: This minimally invasive procedure can stimulate collagen production, making the under-eye skin appear smoother and more even-toned.
Herbal and Ayurvedic Remedies for Dark Circles
1.Cucumber: Cucumber has cooling and soothing properties that can reduce swelling and inflammation around the eyes.
2.Potato: Potato slices can help reduce the appearance of dark circles due to their natural bleaching properties.
3.Almond Oil: Almond oil is rich in vitamin E and can help moisturize and brighten the skin around the eyes.
4.Rose Water: Rose water has anti-inflammatory properties and can help reduce puffiness and dark circles.
5.Aloe Vera: Aloe vera gel can help reduce inflammation and soothe the skin around the eyes.
5 Best Products For Skin Dark Circles
Earth Rhythm Bakuchiol Serum
Earth Rhythm Bakuchiol Serum presents a bouquet of benefits for your skin. Packed with natural Bakuchiol, a gentle alternative to retinol, it promotes collagen production, reduces fine lines, and improves skin elasticity. Antioxidant-rich ingredients like green tea and vitamin E combat free radicals, protecting against premature aging. This serum’s lightweight texture absorbs quickly, leaving no greasy residue. Suitable for all skin types, it’s a botanical treasure that nurtures and rejuvenates, offering a radiant and youthful complexion without the potential irritations of traditional retinol products.
BON ORGANICS Only Herbs Face Wash
BON ORGANICS Only Herbs Face Wash brings forth an array of benefits for your skin. Crafted with natural and organic ingredients, it gently cleanses while maintaining the skin’s natural moisture balance. The herbal blend soothes irritation and promotes a clear complexion. Free from harsh chemicals, it’s suitable for sensitive skin. Antioxidants combat environmental stressors, preventing damage and signs of aging. This face wash’s purity and herbal richness offer a holistic cleansing experience, leaving your skin refreshed, revitalized, and naturally radiant.
TAC – The Ayurveda Co. Bakuchiol Under Eye Gel
TAC – The Ayurveda Co. Bakuchiol Under Eye Gel offers a multitude of benefits for your delicate under-eye area. Enriched with Bakuchiol, a natural alternative to retinol, it reduces the appearance of fine lines and wrinkles, promoting a smoother texture. The lightweight gel formula hydrates and nourishes, diminishing puffiness and dark circles. Ayurvedic herbs provide soothing and revitalizing effects, restoring a youthful glow. With regular use, this under-eye gel is a gentle yet potent solution for rejuvenating and brightening your eyes.
Organic Affaire Yvonne (All Skin Face Serum with Vitamin C)
Organic Affaire Yvonne Face Serum with Vitamin C is a treasure trove of benefits for your skin. Infused with potent Vitamin C, it brightens and evens out the complexion, promoting a radiant glow. The serum’s lightweight formula penetrates deeply, hydrating and rejuvenating the skin. Antioxidant-rich ingredients combat free radicals, protecting against environmental stressors. Suitable for all skin types, it addresses hyperpigmentation, fine lines, and dullness. This serum is a natural elixir, delivering a youthful, luminous complexion and promoting overall skin health.
SoulTree Under Eye Gel With Pomegranate & Almond Oil
SoulTree Under Eye Gel with Pomegranate & Almond Oil offers a range of benefits for your delicate under-eye area. Enriched with pomegranate and almond oil, it reduces puffiness and dark circles, promoting a refreshed look. The lightweight gel texture hydrates and nourishes, diminishing the appearance of fine lines. Antioxidants in pomegranate protect against free radicals, while almond oil’s vitamins enhance skin health. This under-eye gel is a natural remedy, providing a soothing and revitalizing solution for brighter, youthful eyes.
FAQ’s
1. What causes skin dark circles?
Dark circles can result from thin skin, blood vessels showing through, pigmentation, lack of sleep, or even allergies.
2. Are dark circles hereditary?
Yes, genetics can play a role in the development of dark circles.
3. Can lack of sleep cause dark circles?
Yes, sleep deprivation can lead to pale skin and blood vessels becoming more visible, contributing to dark circles.
4. Do allergies contribute to dark circles?
Allergies can cause inflammation and rubbing of the eyes, leading to dark circles.
5. Can a healthy lifestyle prevent dark circles?
A balanced diet, proper hydration, and sufficient sleep can help prevent or minimize the appearance of dark circles.
6. Are there effective home remedies for dark circles?
Natural remedies like cold compresses, cucumber slices, and tea bags can temporarily reduce puffiness and dark circles.
7. How can I choose the right under-eye cream for dark circles?
Look for creams containing ingredients like hyaluronic acid, peptides, and vitamins C and K to address dark circles.
8. Can makeup conceal dark circles effectively?
Yes, using a color corrector and a concealer matched to your skin tone can help camouflage dark circles.
9. Can dermal fillers help with severe dark circles?
Dermal fillers can plump the skin under the eyes and reduce the appearance of dark circles in some cases.
10. Can dark circles be a sign of an underlying health issue?
Yes, certain health conditions like anemia or thyroid problems can contribute to dark circles.
11. Can sun exposure worsen dark circles?
Sun exposure can cause the skin under the eyes to darken, making existing dark circles more noticeable.
12. How can I prevent rubbing my eyes to avoid dark circles?
Addressing underlying causes like allergies and maintaining proper eye care can reduce the urge to rub your eyes.
13. Is there a link between aging and dark circles?
As we age, the skin becomes thinner, and blood vessels may become more visible, contributing to dark circles.
14. Can I use retinol for dark circles?
Retinol can help improve skin texture and collagen production, which may indirectly minimize the appearance of dark circles.
15. Are there surgical treatments for dark circles?
Surgical options like blepharoplasty can be considered for severe cases of dark circles, but they should be discussed with a dermatologist or plastic surgeon.